Renal Questions 21-25
Wednesday, February 13, 2013
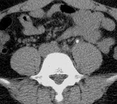
Question 21
21. Your patient is a 45 year old male that presents with flank pain, nausea and vomiting. His CT scan is below. What is his diagnosis?
A. Phlebolith
B. Ureter Stone
C. Amyloidosis
D. CREST Syndrome
No comments:
Post a Comment
Newer Post
Home
Subscribe to:
Post Comments (Atom)
No comments:
Post a Comment